Bazen diş apsesi çok önemsenmez. Ancak diş apsesi sağlığı tehdit edecek sonuçlar ortaya çıkarmaktadır. Dişte oluşan apse tedavi edilmediği zaman bu bölgede oluşan zararlı mikroorfanizmalar vücudun diğer bölümlerine yayılarak istenmeyen sonuçlar ortaya çıkarabilir. Bu nedenle diş apsesi kesinlikle önemsenmeli ve hemen tedavi edilmelidir.
Diş Apsesi Nedir?
Vücudun bakteriler karşısında göstermiş olduğu tepkimeler diş apsesi nedir sorusunun en anlaşılır cevabıdır. Ağrı ve kızarıklık şikayetlerine neden olan apseler vücudun her yerinde ortaya çıkabilir. Ancak sık olarak diş bölgesinde görülmektedir. Diş apseleri iki farklı şekilde görülebilir. Bunlar diş köklerinde biriken ve diş aralarında oluşan apsedir. Diş köklerinde oluşan apseler genelde düzenli ağız bakımı yapılmadığı zamanlarda ortaya çıkar. Diş aralarında oluşan apseler de yine yetersiz ağız bakımı nedeniyle ortaya çıkmaktadır. Diş aralarında kalan besinler temizlenmediği zaman apselerin görülmesi kaçınılmazdır.
Diş Apsesi Neden Olur?
Diş apsesi herkeste görülebilen önemli bir sağlık sorunudur. Bu nedenle diş apsesi neden olur öğrenerek bu nedenlerin ortadan kaldırılması çok önemlidir. Diş apsesi, diş koklerindeki enfeksiyon ve bakteri nedeni ile görülmektedir. Diş apsesinin önemli bir nedeni de, çok sık şeker ve karbonhidrat tüketmektir. Bu tür besinler ağız bakterilerinin üremesine ortam hazırlar. Dişlerin derinlerine inen bu bakteriler zamanla apseye neden olmaktadır.
Dişte apse oluşmasına neden olan bir diğer etken ise diş çürüklerine müdahale edilmemesidir. Düzenli bakım yapılmayan dişlerdeki çürükler zamanla ilerleyerek dişlerde apseye neden olmaktadır. Bu nedenle diş çürüklerine zamanında müdahale edilmesi tavsiye edilmektedir.
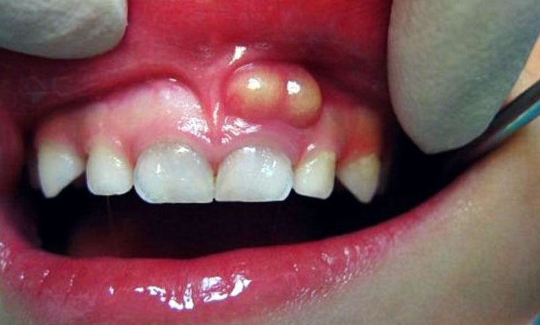
Diş Apsesi Belirtileri Neler?
Diş apsesi belirtileri neler öğrenerek yaşadığınız sorunun apseden kaynaklandığını kolaylıkla belirleyebilirsiniz. Diş apsesi olduğunu düşündürecek en önemli belirtiler şu şekilde sıralanabilir:
- Dişlerde zonklayarak kendini gösteren ağrı
- Dişlerde sıcaklığa karşı hassasiyet oluşması
- Isırma ve çiğneme esnasında ağrı
- Yanak ve yüz bölümünde şişme
- Ateş
Diş Apsesi Nasıl Geçer Evde?
Diş apsesi ciddi ağrı yaratan bir durumdur. Bu nedenle dayanamayacak duruma gelen kişiler diş apsesi nasıl geçer evde tedavi yöntemleri nelerdir öğrenerek ağrıyı biraz da olsa hafifletebilirler. Diş Apsesine evde uygulayabileceğiniz bazı yöntemler şunlardır:
Karanfil Yağı: Karanfil yağının içerisindeki öjenol, antibakteriyel ve anestezik etkiye sahiptir. Bu nedenle diş apsesi nedeni ile oluşan ağrıya iyi gelmektedir. Diş apsesi olan bölgeye az miktarda karanfil yağı sürdüğünüz zaman ağrının hafiflediğini göreceksiniz.
Tuzlu Su: Ilık tuzlu su ile ağzımızı gargara yaptığınız zaman apse ağrısına iyi gelmektedir. Tuzlu su sayesinde bakteriler ölmektedir.
Nane Çayı Poşeti: Islak ve soğuk nane çayı poşeti ile apseli bölgeye masaj yapıldığı zaman ağrının hafiflediği söylenmektedir.
Alkol: Bir pamuğa az miktarda damlatacağınız alkol ile ağrınız azalacaktır.
Diş Apsesi Kaç Güne Geçer?
Birçok kişinin merak ettiği sorulardan biri de diş apsesi kaç güne geçer sorusudur. Ağrılı bir durum olan diş apsesi, apse oluşan bölgenin temizlenmesi ve sonrasında antibiyotik kullanımı ile 6 – 7 gün içerisinde geçmektedir. Apsenin iyileşme süresi kişiye göre değişiklik gösterebilir.
Diş Apsesi Geçmiyor, Ne Yapabilirim?
Diş apsesi geçmediği zaman mutlaka bir diş doktoruna gidilmelidir. Evde uygulayacağınız tedavi yöntemleri ile ağrı hafiflese bile apse tam olarak iyileşmez. Bu nedenle panik yapmadan diş doktoruna giderek gerekli tedaviyi uygulamalısınız.
Diş Apsesi Nasıl Boşaltılır?
Birçok vakada diş apsesi ilaç ile tedavi olmaz. Bu durumda apse drenajı denilen apse boşaltılması yöntemine başvurulur. Kanal tedavisi yöntemi uygulanır ve apseye neden olan kanallar güzelce temizlenir. Bu işlem genelde olumlu sonuç vermektedir. Ancak nadir de olsa olumlu sonuç vermediği zaman cerrahi yöntem ile müdahale yapılır.
Diş Apsesine Ne İyi Gelir?
Diş apsesi kesinlikle doktor kontrolünde tedavi edilmelidir. Ancak evde bazı yöntemler ağrıya iyi gelmektedir. Diş apsesine ne iyi gelir öğrendiğiniz zaman ağrıyı az da olsa hafifletebilirsiniz. Diş apsesine sumaklı su, karbonatlı su, sarımsak, elma suyu, tuzlu su ve karanfil yağı iyi gelmektedir.
Diş Apsesi Patlatmak Zararlı Mı?
Birçok kişi apse ağrısına dayanamadığı için diş apsesini patlatmaktadır. Ancak apseye kesinlikle müdahale edilmemelidir. Bu durum daha kötü sonuçlara neden olabilir. O anlık iltihap geçse de ileride tekrarlaması mümkündür. Bu nedenle doktora gidilerek tedavi edilmelidir.
Diş Apsesi Patlarsa Ne Olur, Öldürür Mü?
Diş apsesi sorunu yaşayan kişiler diş apsesi patlarsa ne olur, öldürür mü merak etmektedir. Diş apsesi patladığı zaman öldürmez. Ancak o bölgede apse kronikleşerek sürekli tekrarlar. Uzun süren bu iltihap ileride vücuda zarar verebilir.
Diş Apsesi İçin Hangi Antibiyotik Kullanılır?
Diş apsesi için genelde penisilin sınıfı ilaçlar kullanılmaktadır. Bazı hekimler çok inatçı diş apsesi için klavulanik asit önerebilmektedir.
Diş Apsesi Antibiyotik ile Kaç Günde Geçer?
Diş apsesi için genelde antibiyotik kullanmak gerekmektedir. Antibiyotiğe başladıktan sonra bir iki gün içerisinde apsenin semptomlarının hafiflediği görülmektedir. Ancak antibiyotik tedavisinin yarıda bırakılmaması ve doktorun önerdiği gün kadar kullanılması önemlidir. Antibiyotik ile diş apsesi ortalama 3-7 gün içerisinde geçer.
Diş Apsesi Burun Tıkanıklığı Yapar Mı?
Genelde sinüzit ile diş apsesi karıştırılmaktadır. Diş köklerinde meydana gelen kistler, iltihaplar ve çürükler sinüzite neden olmaktadır. Bu durumda burun akıntısı ile beraber dişlerde ağrı ve koku da görülmektedir.
Diş Apsesi Baş Döndürür Mü?
Diş apsesi hafife alınmamalıdır. Diş apsesinin önemli belirtileri arasında enerji kaybı, halsizlik, ateş ve yorgunluk yer almaktadır. Yani kişi de baş dönmesi de görülebilir.
Diş Apsesi Boğaz Ağrısı Yapar Mı?
Diş apsesi birçok bölgeye etki etmektedir. Diş apsesi boğaz ağrısı yapar mı sorusu en sık karşılaştığımız sorudur. Diş apsesi nedeni ile boyun ve kulak bölgesinde orta şiddetli ağrı görülebilir.
Diş Apsesi Çene Ağrısı Yapar Mı?
Diş apsesinin en temel belirtisi, aniden ortaya çıkan ağrıdır. Ağrı birkaç saat içerisinde artarak devam etmektedir. Bu ağrı bazen çene bölgesinde de görülebilir.
Diş Apsesi Tansiyonu Yükseltir Mi?
Yapılan bilimsel çalışmalar, diş apsesinin kan basıncını arttırdığını göstermiştir. Bu da kişi de yüksek tansiyon oluşmasına neden olmaktadır.
Bunlar da dikkatinizi çekebilir!
- Diş eti ağrısına neler sebep olabilir? Diş eti ağrısı nasıl geçer? Tedavisi
- Diş eti çekilmesi neden olur ve nasıl durdurulur? Önlemler ve bitkisel kürler
- Diş Eti Kanaması Neden Önemlidir? Tedavisi
- Diş Eti Çekilmesine Muhteşem Doğal Çözüm!
